
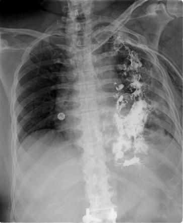
Boerhaave syndrome refers to rupture of esophagus secondary to forceful emesis. Alcoholism is one of the major risk factors. The condition is characterized by Mackler’s Triad: - Vomiting - Subcutaneous emphysema - Chest pain Reference: https://radiopaedia.org/articles/boerhaave-syndrome Image via: https://radiopaedia.org/articles/boerhaave-syndrome