
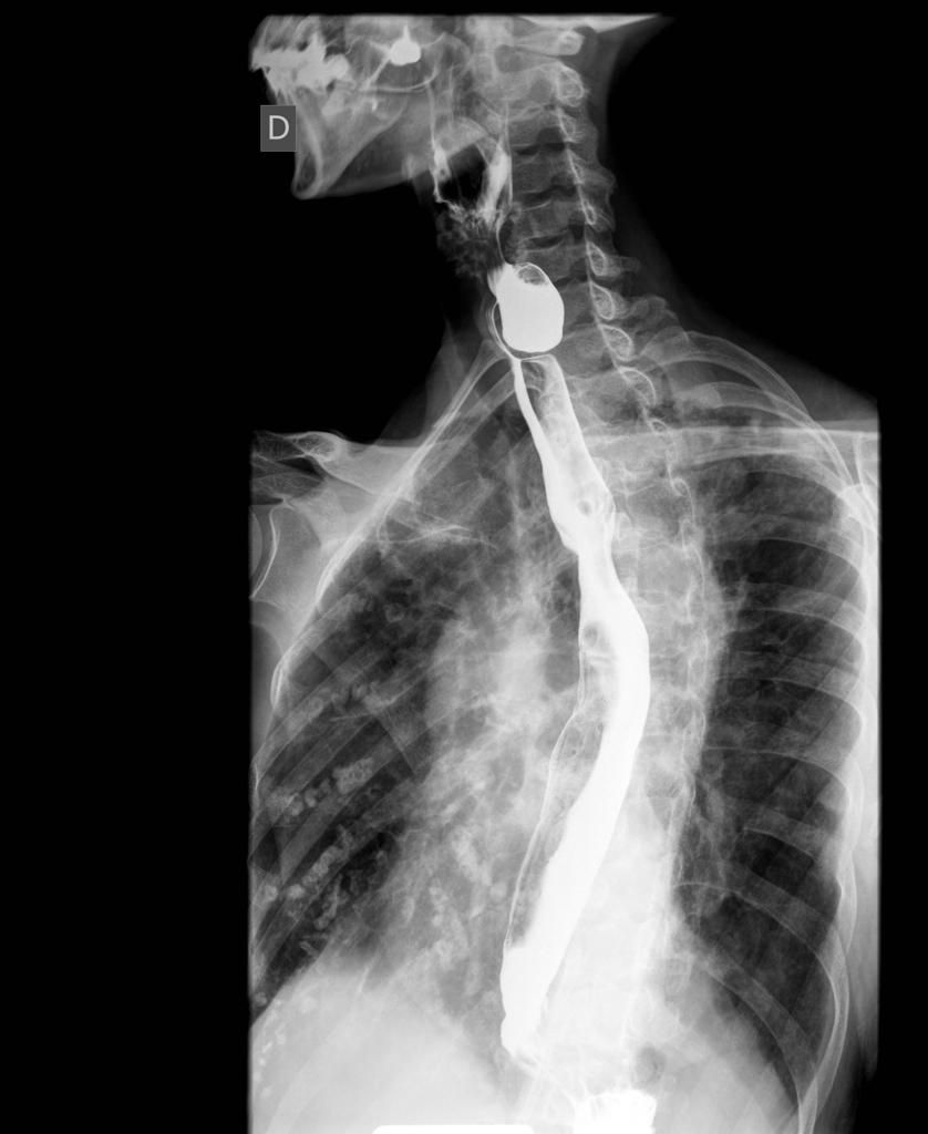
A zenker diverticulum is a pseudo-diverticulum characterized by outpouching of hypopharynx through Killian’s triangle secondary to weakness of muscles. The patient presents with complaints of dysphagia, regurgitation, and halitosis. The barium swallow examination is indicated to diagnose zenker diverticulum. The radiological finding suggesting presence of Zenker diverticulum are: - A diverticulum arising near the pharyngo-esophageal junction. - Outpouching on swallowing at level of C5 and C6. Reference: https://radiopaedia.org/articles/zenker-diverticulum-1 Image via: https://radiopaedia.org/cases/zenker-diverticulum-1