MEDizzy
MEDizzy
N
Nikhilover 7 years ago
Diagnosis

Diagnosis

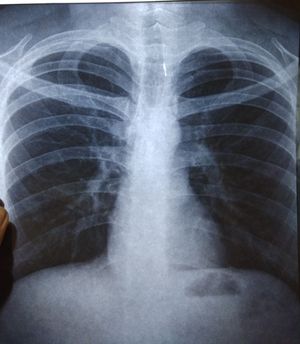
22 yr male presents with non productive cough which aggregated during night since 5 days, foreign body sensation in throat since 2 days..he is not allergic to any thing..x-ray done..what is your diagnosis??

561
Top rated comment
over 7 years ago

Forgein body in trachea?

Other commentsSign in to post comments. You don't have an account? Sign up now!
over 7 years ago

It appears to be something dense that is wedged in the trachea. The coughing would be ro remove it but I can't explain why he only coughs at night.

over 7 years ago

Aspergillosis

over 7 years ago

Having a non-medical background, can you diagnose aspergillosis without taking a culture sample?

over 7 years ago

Looks like there is a foreign body in trachea?

Recent MCQs















Show more MCQs

Recent flashcard sets















Show more flashcards