MEDizzy
MEDizzy
Liam Jones
Liam Jonesover 7 years ago
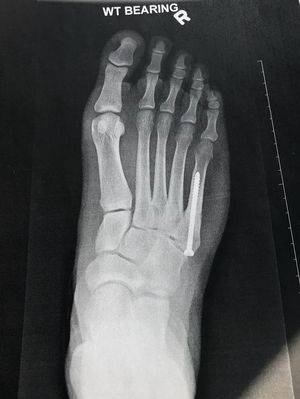
5th metatarsal repair surgery, 4 months post op

5th metatarsal repair surgery, 4 months post op

A follow up to a previously posted surgery, which can be seen, along with other X-ray angles on my profile

4
Other commentsSign in to post comments. You don't have an account? Sign up now!

Recent MCQs















Show more MCQs

Recent flashcard sets















Show more flashcards