
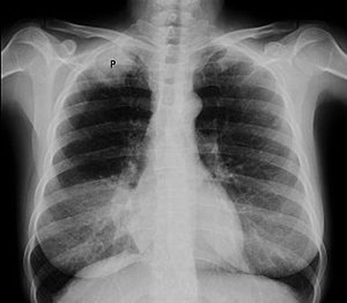
Superior sulcus tumors give rise to ipsilateral shoulder pain, pain in ipsilateral arm, paresis, paresthesia, and atrophic thenar muscle. This constellation of signs and symptoms attributed to superior sulcus lung tumors is called Horner’s syndrome. Non-small cell lung carcinoma is most commonly associated with Pancoast syndrome. The condition is treated with chemotherapy and radiotherapy. This regime is followed by surgical resection. Reference: https://www.ncbi.nlm.nih.gov/books/NBK482155/ Image via: https://en.wikipedia.org/wiki/Pancoast_tumor