
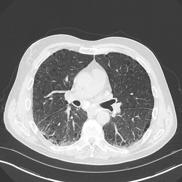
Rheumatoid pneumoconiosis refers to inflammation and scarring of the lungs. It is associated with rheumatoid arthritis and develops in individuals who are exposed to industrial dust. Since rheumatoid arthritis is an autoimmune disease, the excessive stimuli in the form of inorganic dust further intensifies the immune response leading to inflammation of lungs thereby causing rheumatoid pneumoconiosis. Reference: https://medlineplus.gov/ency/article/000137.htm Image via: https://radiopaedia.org/cases/caplan-syndrome
Uncommon but good to know. I am a practioner for Pulm & CCM