
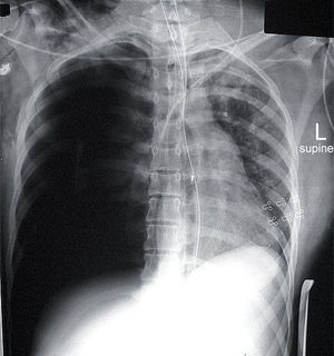
This is a supine chest image on a patient who was involved in a motor vehicle accident. There is a large right pneumothorax which is under tension. The tension has resulted in considerable mediastinal shift and there is a severe deep sulcus sign. Tension pneumothorax is a life threatening condition that results from a ball valve effect which causes air entry into the pleural space with reduced or no air out of the pleural space. As air accumulates rapidly in the pleural space with each breath. The increase in intrathoracic pressure results in massive shifting of the mediastinum away from the affected lung compressing intrathoracic vessels, which obstruct venous return to the heart. This leads to circulatory instability and may result in traumatic arrest. Non-tension pneumothorax is of lesser severity because there is slower accumulation of air and therefore slower increase in air pressure in the pleural cavity. The classic signs of a tension pneumothorax are deviation of the trachea away from the side with the tension, an increased percussion note and a hyper-expanded chest that moves little with respiration. The central venous pressure is usually raised, but will be normal or low in hypovolaemic states. Depression of the hemi-diaphragm is also seen. Treatment is one of the classic medical emergencies where life can be saved or lost on the basis of recognition and subsequent rapid decompression. Numerous techniques exist, but in the first instance relieving the tension, even if not draining the pneumothorax, is life-saving. A needle thoracostomy can be inserted, typically in the 2nd intercostal space in the midclavicular line, to gain valuable time, before a larger underwater drain can be inserted.