
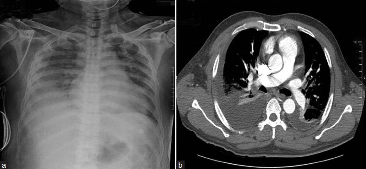
Shoshin beriberi is a type of wet beriberi that is rapid in onset and is also known as acute fulminant cardiovascular beriberi. Wet beriberi denotes thiamine deficiency that is associated with the involvement of cardiovascular system. Shoshin beriberi is a rapid type of wet beriberi that results due to injury that is majorly confined to the heart and leads to cyanosis of the extremities, tachycardia, neck vein distention, restlessness, and anxiety. Treatment is not only with thiamine alone as that results in systemic vasoconstriction without recovery of the heart and ultimate low-output cardiac failure. The treatment needs to include support for the heart along with thiamine otherwise rapid death can occur. Text Reference: https://emedicine.medscape.com/article/116930-overview#a4 Image Source: https://www.najms.org/article.asp?issn=1947-2714;year=2012;volume=4;issue=10;spage=503;epage=506;aulast=Saya