Feed
Library
Learning
Discuss
Leaderboard
Journal
Sign in
Login
Sign up
Sign in
Feed
Library
Learning
Discuss
Leaderboard
Journal
Ramsha Zaheer
over 2 years ago
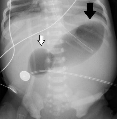
"Double Bubble" Sign in a patient with Duodenal Atresia
Diagnosis
Sign
Radiograph
Duodenal Atresia
Congenital Anomaly
show 1 more
15
0
2
Other comments
Sign in
to post comments. You don't have an account?
Sign up now!
Related posts
Principles of investigation and diagnosis
Immunostaining diagnosis
Immunostaining diagnosis
Unicystic presentation of ameloblastoma
Unicystic ameloblastoma
Corkscrew Sign
Lactose Intolerance Diagnosis
VRF Diagnosis
Supraventricular tachycardia- Diagnosis
Atrial Septal Defect- Diagnosis
Recent MCQs
Show more MCQs
Recent flashcard sets
Show more flashcards
Feed
Learn
Add
Search
Discuss