Feed
Library
Learning
Discuss
Leaderboard
Journal
Sign in
Login
Sign up
Sign in
Feed
Library
Learning
Discuss
Leaderboard
Journal
H
Haroon
over 7 years ago
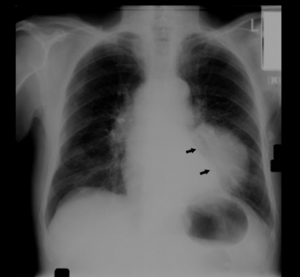
Diagnosis?
Chest
Left
Side
X Ray
7
0
1
Other comments
Sign in
to post comments. You don't have an account?
Sign up now!
Related posts
spot diagnosis
Chest x-rays 🩻
Symptoms of Pancoast tumor
'Exceedingly enlarged' mass found in man's chest
Hemothorax
Bones of the Chest
Darier Disease.
Hypertrophic left ventricle
Left bundle branch block
Best areas for auscultation
Recent MCQs
‌
‌
‌
‌
‌
‌
‌
‌
‌
‌
Show more MCQs
Recent flashcard sets
‌
‌
‌
‌
‌
‌
‌
‌
‌
‌
Show more flashcards
Feed
Learn
Add
Search
Discuss