MEDizzy
MEDizzy
S
Sophannaover 7 years ago
What do you think?

What do you think?

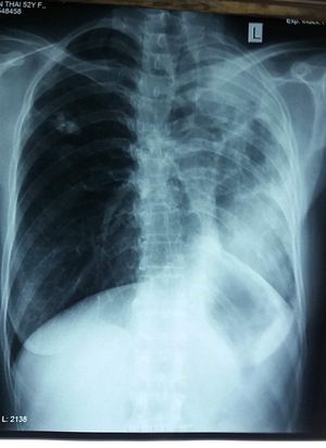
Man 55 years old come with Severe dyspnea associated with severe oxygen desaturation: SpO2 87-89%. Does not have a fever. Any ideas please?

37
Top rated comment
over 7 years ago

Tension pneumothorax

over 7 years ago

I don't think so. Can you tell me why you guess it?

over 7 years ago

Hyperlucency of the right lung with trachea deviated to the left

Other commentsSign in to post comments. You don't have an account? Sign up now!
over 7 years ago

Mediastinal shiftΒ is towards the affected side so it can be left atelectasis or left lung collapse

over 7 years ago

Lt atelectasis

over 7 years ago

It seems to be pneumothorax.

over 7 years ago

Left atelectasias , plus right massive pneumothorax

over 7 years ago

Is there bowel in the thoracic cavity?

over 7 years ago

Diaphragmatic hernia? Just a layman girl with a medical interest.

over 7 years ago

It's tension pneumothorax

over 7 years ago

According to studies,spO2 lower than 90% is a sign of atelectasis.....btw i am a 3rd year medical student

over 7 years ago

Good to know someone is student hereπŸ˜€

over 7 years ago

Me too 😊

over 7 years ago

Tension pneumothorax

over 7 years ago

Pneumothorax

1…2

Recent MCQs

β€Œ
β€Œ

β€Œ
β€Œ

β€Œ
β€Œ

β€Œ
β€Œ

β€Œ
β€Œ
Show more MCQs

Recent flashcard sets

β€Œ
β€Œ

β€Œ
β€Œ

β€Œ
β€Œ

β€Œ
β€Œ

β€Œ
β€Œ
Show more flashcards