MEDizzy
MEDizzy
S
Shreyaover 7 years ago
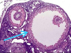
Identify the marked structure

Identify the marked structure

29
Top rated comment
over 7 years ago

Graafian follicle?

Other commentsSign in to post comments. You don't have an account? Sign up now!
over 7 years ago

Antral follicle

over 7 years ago

Graafian follicle

over 7 years ago

Corona radiata cells of graffian follicle

over 7 years ago

It ia grafian follicle

over 7 years ago

Thecal cells of graffian follicle

over 7 years ago

Graffian follicle

over 7 years ago

Graafian follicle

over 7 years ago

Graafian follicle

Recent MCQs















Show more MCQs

Recent flashcard sets















Show more flashcards