
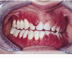
Fanconi anemia (the bleeding), AML, and drug-induced gingeval hyperplasia by phenytoin
Ddx: scurvey , phrnytoin ttt, gingivitis , leukemia, blood dyscrasias.
Acute leukemia related to hyperplasia of monocytes . Either Acute Monocytic L(>80% monoctes) or Acute mielomonocytic anemia. Can be drug induced as well- Phenytoin