
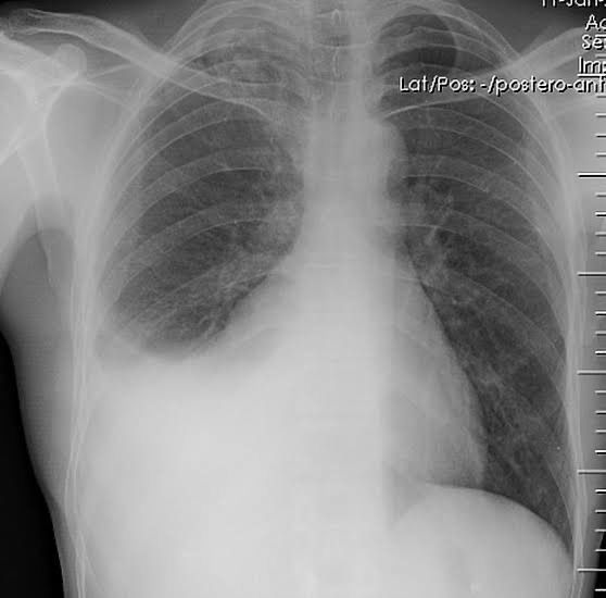
Pleural effusion is defined as the collection of fluid in the pleural space. Fluid can be of two types: TRANSUDATE: Usually clear Protein concentration <30 g/dL Lactate dehydrogenase < 200 U/L LDH fluid : serum ratio < 0.6 Specific gravity < 1.015 It is usually bilateral. Common causes includes: heart failure, hypoproteinemia, constrictive pericarditis, etc. EXUDATE: Usually cloudy or purulent Protein concentration > 30 g/dL Lactate dehydrogenase > 200 U/L LDH fluid : serum ratio > 0.6 Specific gravity > 1.015 It is usually unilateral. Common causes includes: bacterial pneumonia, tuberculosis, connective tissue disorders, etc. Chest X-ray of pleural effusion reveals opacification of the involved area with blunting or obliteration of costophrenic angle on the effected side. In cases of massive effusion, mediastinum is shifted to the contralateral side. Picture credit: https://radiopaedia.org/cases/pleural-effusion-7