
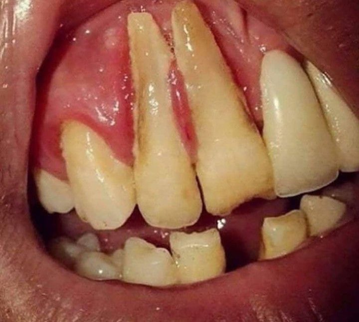
Gingival recession or receding gums, is the exposure in the roots of the teeth caused by the retraction of the gingival margin from the crown of the teeth. CAUSES: Gingival recession can be caused by periodontal disease, accumulations, inflammation, improper flossing or aggressive tooth brushing, incorrect occlusal relationships, and dominant roots. TREATMENT: Possible treatment options include: >crowns ,veneers or restorations > root conditioning >Construction of Gingival Mask > frenectomy >Surgical Root Coverage Techniques Credits: https://www.hindawi.com/journals/crid/2012/563421/ https://www.instagram.com/p/CQzyqWAtTUE/?utm_medium=copy_link