
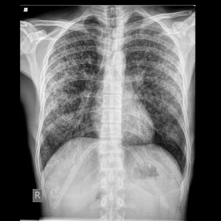
Miliary TB is a form of TB that results from the hematogenous and lymphogenous dissemination of the disease. The patient with miliary TB presents with extra-pulmonary manifestations like enlarged lymph nodes, hepatosplenomegaly, pancreatitis, multiple organ dysfunction and pneumothorax. The chest radiograph in cases of miliary TB will show distinctive tiny opacities called millet seeds spread all over the lung fields. Picture credit: https://radiopaedia.org/articles/miliary-tuberculosis