Feed
Library
Learning
Discuss
Leaderboard
Journal
Sign in
Login
Sign up
Sign in
Feed
Library
Learning
Discuss
Leaderboard
Journal
Ayon Deb
over 7 years ago
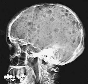
X-ray
Diagnosis the case??
Medicine
Pathology
Diagnosis
Radiology
8
3
1
Top rated comment
DK
Duong Kien
over 7 years ago
Multiple myeloma
1
Reply
Other comments
Sign in
to post comments. You don't have an account?
Sign up now!
Dr.Sonipriya💓
over 7 years ago
Punchedout osteolytic lesions (multiple myeloma
0
Reply
KA
Kanishk Amera
over 7 years ago
Multiple myeloma
0
Reply
Related posts
Hyperparathyroidism
Pagets disease
Paget’s disease.
Neurofibromatosis
Haemophilia
Lactose Intolerance Diagnosis
VRF Diagnosis
Periapical Pathologies
Supraventricular tachycardia- Diagnosis
Atrial Septal Defect- Diagnosis
Recent MCQs
‌
‌
‌
‌
‌
‌
‌
‌
‌
‌
Show more MCQs
Recent flashcard sets
‌
‌
‌
‌
‌
‌
‌
‌
‌
‌
Show more flashcards
Feed
Learn
Add
Search
Discuss