
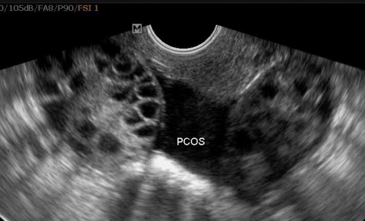
Polycystic ovary syndrome (PCOS) is a disorder characterized by abnormally high amount of androgens produced by the ovary. Women with PCOS presents with menstrual irregularities, large polycystic ovaries, hirsitusm, acne, infertility and acanthosis nigricans. PCOS is diagnosed by: 1. Ultrasound: 10 discrete follicles of less than 10mm peripherally arranged. 2. LH levels and FSH:LH ratio: Increased LH and FSH:LH ratio is seen 3. Increase in fasting insulin 4. Sex hormone binding globulin (SHBG) decreased. Picture credit: https://www.mireproductivemedicine.com/polycystic-ovary-syndrome-common-misunderstood/