
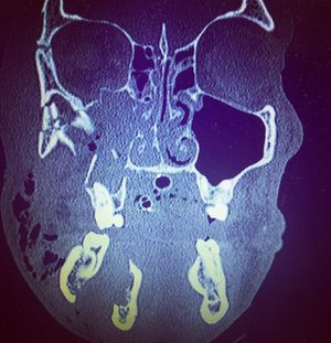
Can you spot the fractures ? 😉This is a coronal slice of a CT scan, meaning you are looking straight at the patient from a face to face point of view ⬆️ This orientation is helpful for examining the bones of the orbits, the sinuses, the cheek bones, as well as my favorite.