MEDizzy
MEDizzy
Ramsha Zaheer
Ramsha Zaheerover 4 years ago
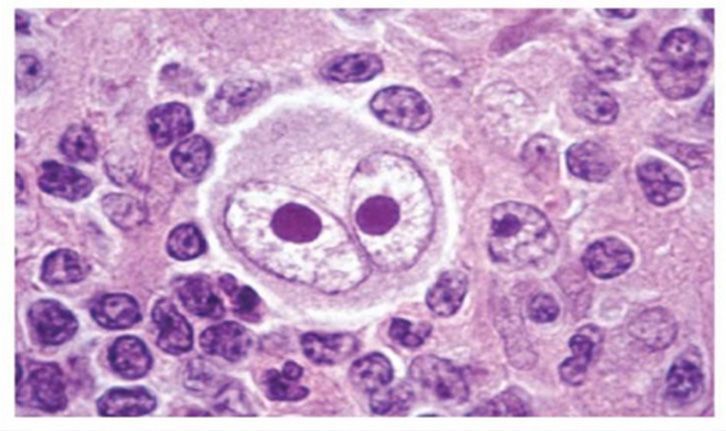
Reed-Sternberg cells

Reed-Sternberg cells

Reed-Sternberg cells are seen when lymph node biopsy is done in patients with Hodgkin lymphoma. The presence of these cells is mandatory for the diagnosis of Hodgkin lymphoma.

6
Other commentsSign in to post comments. You don't have an account? Sign up now!

Recent MCQs















Show more MCQs

Recent flashcard sets















Show more flashcards