
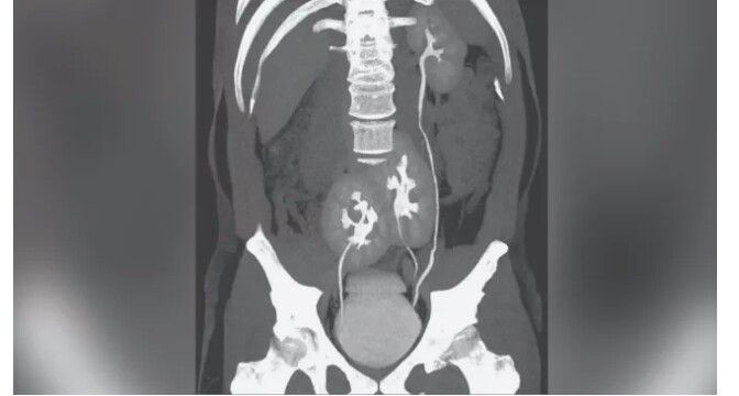
A man in Brazil surprised his doctors when a scan showed he had not two, but three kidneys — a very rare condition. The 38-year-old man initially sought medical care for severe back pain, according to a report of the case, published May 6 in The New England Journal of Medicine. A CT scan showed that his back pain was due to a herniated or "slipped" disk, a relatively common condition in which part of a cushion-like disk between the spinal vertebrae moves out of place. But his doctors couldn't help but notice that the man had an unusual anatomical feature. Instead of the usual two kidneys seen in a typical person, the man had three: a normal-looking kidney on his left side and two fused kidneys located near the pelvis, the report said. Having three kidneys is rare, with fewer than 100 cases reported in the medical literature. The condition is thought to arise during embryonic development, when a structure that typically forms a single kidney splits in two. The man didn't need any medical attention for his extra kidney, but he did receive oral painkillers for his back pain, the report said.