
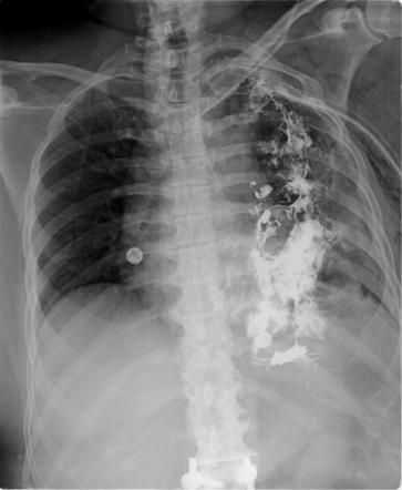
Forceful vomiting or retching can rupture the esophagus, resulting in a syndrome called Boerhaave syndrome. The patient may present with the following signs and symptoms: - Vomiting - Chest pain - Subcutaneous emphysema - Pain in the upper abdomen - Dyspnea - Pain in the back - Shock On radiography, pneumomediastinum, left pleural effusion, and left pneumothorax may be present. gas may be demonstrated in spaces in soft tissue of chest and neck. The gold standard treatment of boerhaave syndrome is surgery. A more conservative approach is esophageal stenting. Reference: https://radiopaedia.org/articles/boerhaave-syndrome