
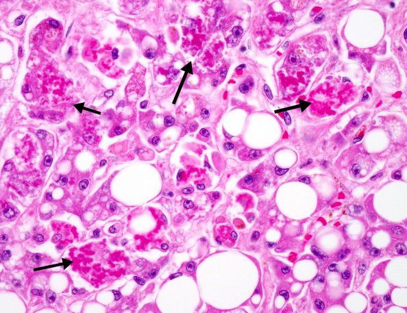
Mallory bodies are intracytoplasmic inclusions present in the liver, also known as alcohol hyaline bodies. They are made of keratin intermediate filaments. They are mostly present in alcoholic liver cirrhosis. They may also be present in the following conditions: 1. Primary biliary cirrhosis 2. Childhood cirrhosis 3. Wilson's disease 4. Morbid obesity