
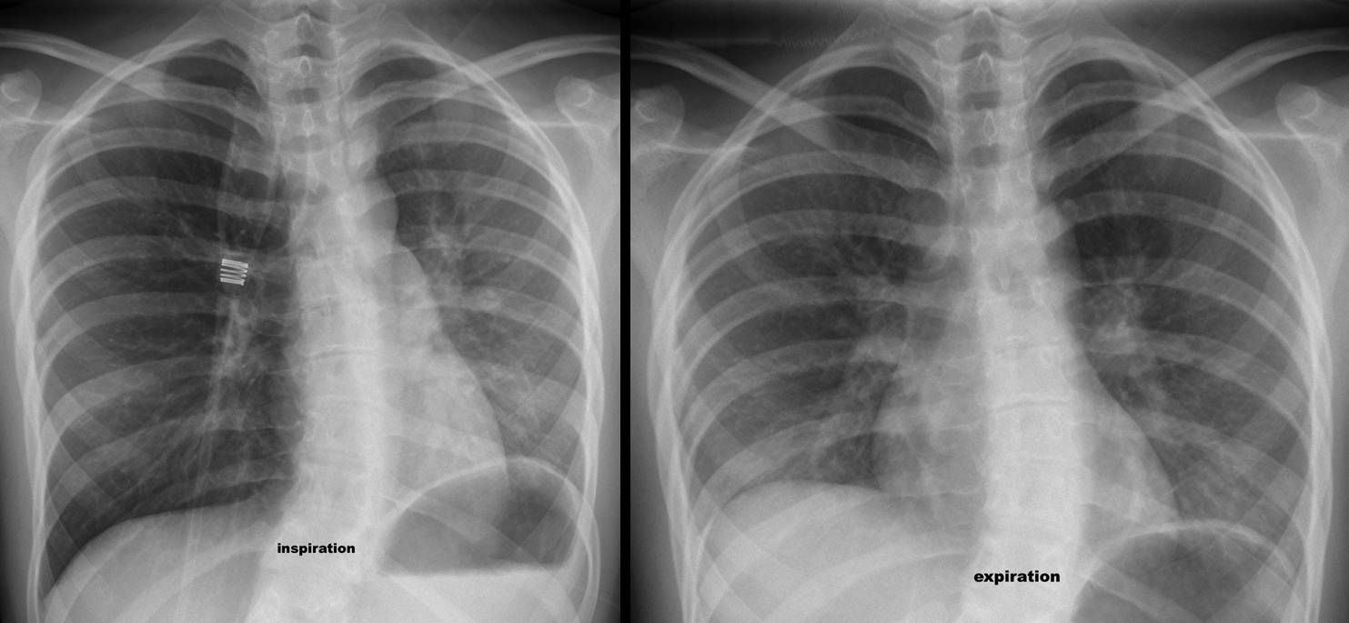
One of the common causes of respiratory symptoms in children is foreign body aspiration. Pneumonia recurring at the same location in the lung can indicate chronic aspiration of a foreign body. Radiological studies in such cases are of immense importance. Holzknecht sign is found on radiography in chronic cases of foreign body aspiration. On expiration, the affected lung becomes pneumatic due to occlusion at the level of bronchi. This results in an ipsilateral downward push on the diaphragm by the lung. On inhalation, the midline shifts to the affected side which is referred to as the Holzknecht sign. Reference: http://oftankonyv.reak.bme.hu/tiki-index.php?page=Thorax Image via: https://blog.myesr.org/caceress-corner-case-58/
Living with Pulmonary Fibrosis (PF) was one of the hardest experiences of my life. The breathlessness, the fatigue, and the fear of the future weighed on me every single day. I had tried so many treatments and medications, but nothing seemed to stop the disease from progressing.Out of both hope and desperation, I came across NaturePath Herbal Clinic. At first, I was skeptical but something about their natural approach and the stories I read gave me the courage to try one more time.I began their herbal treatment program, and within a few weeks, I noticed small changes easier breathing, more energy, and a clearer mind. Over themonths, those improvements became more and more obvious. Today, I can truly say my life has changed. My lungs feel stronger, and my quality of life has returned in ways I didn’t think were possible.This isn’t just a testimony it’s a heartfelt recommendation to anyone struggling with PF or other chronic conditions. Don’t give up hope. I’m so grateful I gave NaturePath Herbal Clinic a chance. Visit their website to learn more: www.naturepathherbalclinic.com info@naturepathherbalclinic.com