
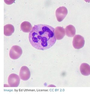
A 72-year-old woman complains of fatigue and pallor. She has mild tachycardia, but other than that, her physical is normal. 3 years ago, she tried to commit suicide by swallowing a caustic compound of unknown origin. Complete blood count (CBC) shows that she is anemic. On peripheral blood smear, megaloblasts can be seen along with hypersegmented neutrophils. A. Lead poisoning B. Pernicious anemia caused by the deficiency of intrinsic factor because of her caustic injury to the stomach C. Iron deficiency because of inadequate intake D. Hemolytic anemia E. Glucose-6-phosphate dehydrogenase deficiency (G6PD deficiency)
Pernicious anaemia-Vitamin B12 deficiency