
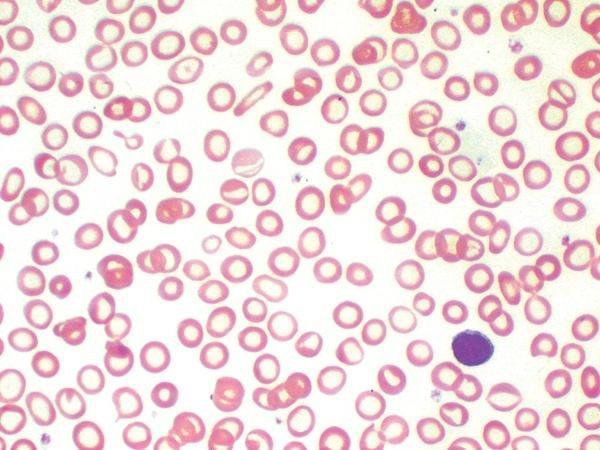
Iron deficiency anemia is a type of nutritional deficiency anemia which can be due to following causes: 1. Chronic blood loss (due to bleeding) 2. Vegetarian diet 3. Increased demand (e.g. pregnancy) 4. Malabsorption Clinically on a blood smear the red cells will look microcytic and hypochromic with an increase in central pallor. In severe cases the cells may appear pencil shaped. In most cases it is asymptomatic but may present with weakness, pallor, spooning of fingers and pica in children. Picture credit: https://www.researchgate.net/figure/The-peripheral-blood-film-in-severe-iron-deficiency-anaemia-The-cells-are-microcytic-and_fig1_309292906