
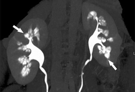
The medullary sponge kidney is characterized by cystic dilatations of the collecting ducts. Patients may present with hematuria, UTI, nephrolithiasis, or maybe completely asymptomatic. It is thought to be associated with hyperparathyroidism and parathyroid adenoma. Diagnosis is confirmed by an intravenous pyelogram. There is no specific treatment for the medullary sponge kidney. However, prevention of stone formation and treatment of associated recurrent UTIs should be done.