
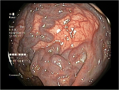
Anorectal varices arise secondary to backflow of blood in collateral submucosal vessels. The primary cause of anorectal varices is portal hypertension. Due to easy access, anorectal varices are easy to manage. The cornerstone of management is treatment of underlying factors causing portal hypertension. Other treatment options include suturing, ligation, and portosystemic shunting. Reference: https://en.wikipedia.org/wiki/Anorectal_varices Image via https://link.springer.com/article/10.1007/s12664-015-0567-2