MEDizzy
MEDizzy
Julia
Juliaalmost 8 years ago
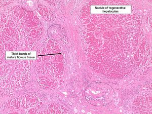
Do you recognize tissue/pathology?

Do you recognize tissue/pathology?

10
Other commentsSign in to post comments. You don't have an account? Sign up now!
almost 8 years ago

Is it bad thing that iam not good in histopathology?!

almost 8 years ago

Hepatic cirrhosis?

Liver cirrhosis?

almost 8 years ago

Liver cirrhosis

almost 8 years ago

Postnekrotik cirrhosis

Recent MCQs















Show more MCQs

Recent flashcard sets















Show more flashcards