Feed
Library
Learning
Discuss
Leaderboard
Journal
Sign in
Login
Sign up
Sign in
Feed
Library
Learning
Discuss
Leaderboard
Journal
rr
rupesh ray
over 7 years ago
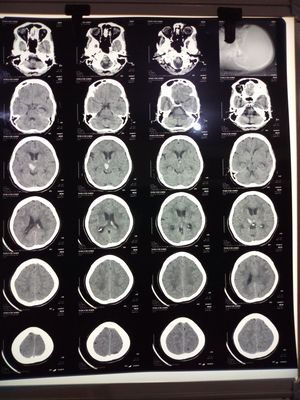
Whats wrong with this ct
of hemiplegia
Medstudent
Brain
Futuredoctor
2
0
0
Other comments
Sign in
to post comments. You don't have an account?
Sign up now!
Related posts
Phineas Gage: A Case Study in Brain Injury and Personality Change
A 70-year-old man presents with difficulty walking, particularly when turning, and a sensation of his feet being "stuck" to the floor. His gait is characterized by hesitation and freezing when initiating steps. Which of the following is most likely to be observed in this patient? A. Spasticity B. Foot drop C.Freezing of gait D. Romberg sign
Best Probiotics For Womens 2025: Are They More Effective?
Best Probiotics for Women Over 50: A Critical Discussion
Medulla Oblongata Anatomy
Effects of sugar on teeth
Brain Blood Supply
Recent MCQs
Show more MCQs
Recent flashcard sets
Show more flashcards
Feed
Learn
Add
Search
Discuss