MEDizzy
MEDizzy
Arif Endotel
Arif Endotelover 7 years ago
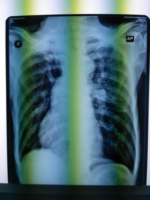
Thorax X-ray PA

Thorax X-ray PA

What is your dx?

32
Top rated comment
over 7 years ago

Dextrocardia

over 7 years ago

dextrocardia with fibrosis

Other commentsSign in to post comments. You don't have an account? Sign up now!
over 7 years ago

Dextrocardia??

over 7 years ago

Dextrocardia

over 7 years ago

Dextrocardia

over 7 years ago

Dextrocardia

over 7 years ago

Dexterocardia

over 7 years ago

Situs inversus

over 7 years ago

Kleinfelter syndrome that includes Dextrocardia

over 7 years ago

No problem 😉 I do that sometimes

over 7 years ago

Gosh, sorry yeah I got distracted that they both start with K

over 7 years ago

Dextrocardia

over 7 years ago

Right apical fibrosis with upward diversion of vessels.

Recent MCQs















Show more MCQs

Recent flashcard sets















Show more flashcards