
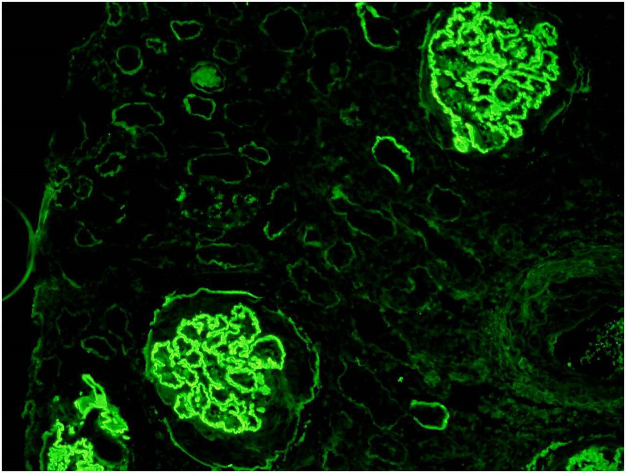
Goodpasture syndrome is an autoimmune disorder characterized by autoantibodies against the basement membrane of kidneys and lungs. The antibodies are formed in response to any foreign insult such as viral infections and drugs such as alemtuzumab. It is also referred to as anti-glomerular basement membrane disease. Due to the destruction of the basement membrane, the patient with Goodpasture syndrome presents with glomerulonephritis and pulmonary hemorrhage. The gold standard diagnostic modality for Goodpasture syndrome is renal biopsy. Antibodies can be demonstrated on ELISA. Goodpasture syndrome is managed by routine plasmapheresis. Steroids and cyclophosphamide are given for 3 to 6 months. Reference: https://www.ncbi.nlm.nih.gov/books/NBK459291/ Image via: https://cjasn.asnjournals.org/content/12/7/1162