MEDizzy
MEDizzy
Top rated comment
over 7 years ago

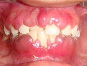
Gingival hyperplasia due to some drug? Phenytoin?

about 7 years ago

Gingival hyper plasia patient may take dilantin for epilepsy or have drugs make the enlargement

Other commentsSign in to post comments. You don't have an account? Sign up now!
over 7 years ago

Aml

over 7 years ago

Gingivitis

over 7 years ago

Gingivitis

Recent MCQs















Show more MCQs

Recent flashcard sets















Show more flashcards