Feed
Library
Learning
Discuss
Leaderboard
Journal
Sign in
Login
Sign up
Sign in
Feed
Library
Learning
Discuss
Leaderboard
Journal
Darshan
over 7 years ago
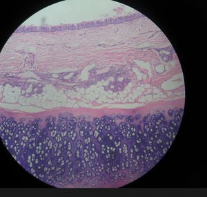
Can u identify???
Mbbs
Histology
Ideas
559
13
7
Top rated comment
Leo Vinci
over 7 years ago
Y trachea?
0
Reply
Other comments
Sign in
to post comments. You don't have an account?
Sign up now!
Dr. Shobhit
over 7 years ago
Trachea.
2
Reply
Darshan
over 7 years ago
Correct
0
Lucas
over 7 years ago
Traquea
1
Reply
Darshan
over 7 years ago
S it's right
0
A
Aswanth
over 7 years ago
Trachea
1
Reply
Darshan
over 7 years ago
Hmm correct
0
Ananda Iffah
over 7 years ago
Trachea
1
Reply
Darshan
over 7 years ago
It's right
0
SR
Shree Rathod
over 7 years ago
Trachea
1
Reply
Gunel
over 7 years ago
Travhea
2
Reply
Darshan
over 7 years ago
*trachea
0
SK
Sankarshan Koushik
over 7 years ago
Trachea
1
Reply
Related posts
Microscopic appearance of dentinogenesis imperfecta
Shell tooth.
Early interproximal caries.
Early interproximal caries
Caries of dentine
A translucent zone
Gingival fibromatosis.
Gingival fibromatosis
Dentigerous cyst.
Dentigerous cyst.
Recent MCQs
Show more MCQs
Recent flashcard sets
Show more flashcards
Feed
Learn
Add
Search
Discuss