
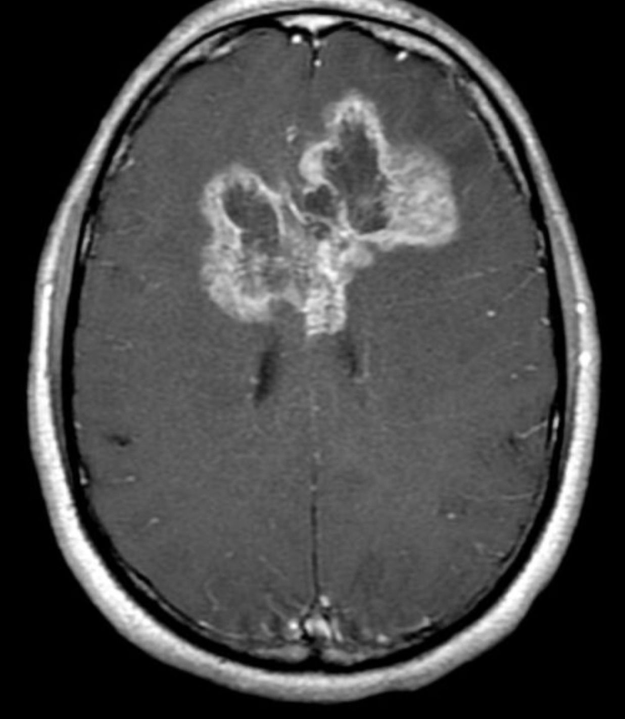
Imaging depicts a large butterfly glioma. This is seen when a GBM is able to cross over to the contralateral hemisphere by crossing the corpus callosum (midline). A GBM is a primary WHO grade IV intra-axial brain tumor. It is highly infiltrative and a craniotomy is usually performed. Unfortunately, prognosis is not the greatest and chemotherapies include Temodar (temozolomide) and Avastin (bevacizumab). Temodar does not seem to be effective for a good margin of patients if they have an unmethylated mgmt promoter.