
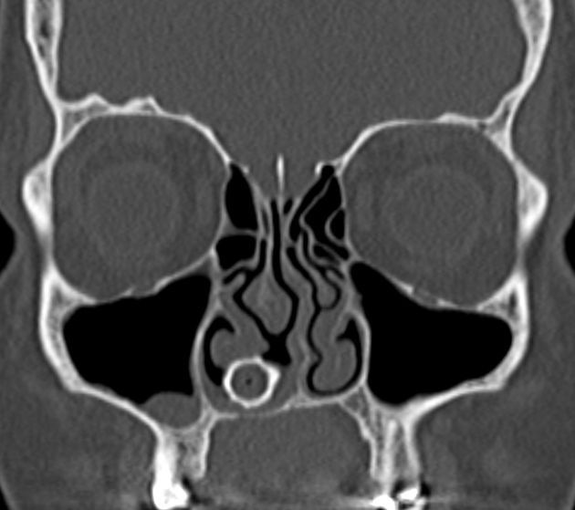
Rhinolith is a lesion that arises in the nasal cavity due to chronic inflammatory response against a lodged foreign body that results in total or partial encrustation of the particulate with minerals. This condition can present with symptoms of unilateral purulent nasal discharge and nasal obstruction that leads to medical consultation.