MEDizzy
MEDizzy
Satish
Satish6 months ago
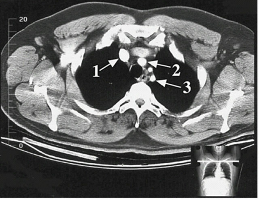
The structure indicated in arrow 1 is ????😊😊😊

The structure indicated in arrow 1 is ????😊😊😊

a)brachiocephalic artery b)superior vencava c)lt common caratoid artery d)rt brachipcephalic vein e)none of these

16
Other commentsSign in to post comments. You don't have an account? Sign up now!

Recent MCQs

‌
‌

‌
‌

‌
‌

‌
‌

‌
‌
Show more MCQs

Recent flashcard sets

‌
‌

‌
‌

‌
‌

‌
‌

‌
‌
Show more flashcards