
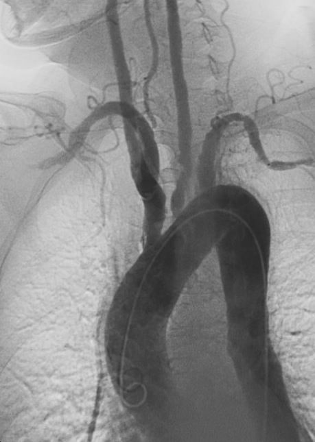
Takayasu arteritis is a granulomatous vasculitis of the aorta and its major branches. It primarily affects women and typically has its onset in early adulthood. Takayasu arteritis can present with nonspecific constitutional symptoms of malaise, fever, and weight loss or with manifestations of vascular damage (diminished pulses, unequal blood pressures in the arms, bruits over carotids, and subclavian arteries, limb claudication, and hypertension). There are no specific laboratory abnormalities; the ESR and the C-reactive protein level are elevated in most cases. The diagnosis is established by imaging studies, usually, MRI, which can detect inflammatory thickening of the walls of affected vessels, or CT angiography, which can provide images of the stenoses, occlusions, and dilations characteristic of arteritis. Corticosteroids (eg, oral prednisone) are the mainstay of treatment. The addition of methotrexate or mycophenolate mofetil to prednisone may be more effective than prednisone alone. Takayasu arteritis has chronic relapsing and remitting course that requires ongoing monitoring and adjustment of therapy.