
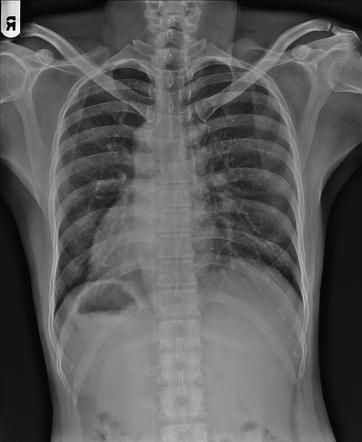
Situs Inversus refers to the transposition of thoracic and abdominal viscera. In comparison, the normal position of the viscera is referred to as situs solitus. Situs Inversus is associated with: - Dextrocardia: The incidence of dextrocardia is 3-5%. The most common association is a transposition of great vessels - Kartagener Syndrome: It is a primary ciliary dyskinesia disorder. Approximately 20% of individuals with situs inversus can have Kartagener syndrome. Situs inversus totalis can be appreciated on the chest radiography by: - The position of the gastric bubble - Location of liver - Position of the heart apex - Position of the aortic arch Reference: https://radiopaedia.org/articles/situs-inversus