
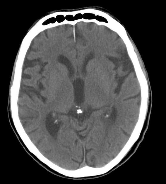
Brain sand also known as corpora arenacea is a benign calcification that is present in the pineal gland and in other structures of the brain such as choroid plexus. The concentration of brain sand tends to increase with age resulting in enhanced visualisation of the pineal gland on X-ray overtime (usually by third to fourth decade). Clinically, these calcification are helpful as anatomical landmarks in radiological examinations. Text Reference: https://en.wikipedia.org/wiki/Corpora_arenacea Image Source: https://radiopaedia.org/cases/pineal-gland-calcification