
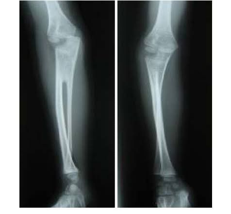
Radioulnar synostosis is a rare condition in which there is abnormal osseous union of radius and ulna. This condition can be congenital ( due to failure of segmentation) or post-traumatic synostosis (following trauma or injury). This leads to restricted movement in of forearm especially supination and pronation. Condition is treated by surgical intervention with high failure rates in post-traumatic conditions.