Feed
Library
Learning
Discuss
Leaderboard
Journal
Sign in
Login
Sign up
Sign in
Feed
Library
Learning
Discuss
Leaderboard
Journal
Dr Usman
almost 2 years ago
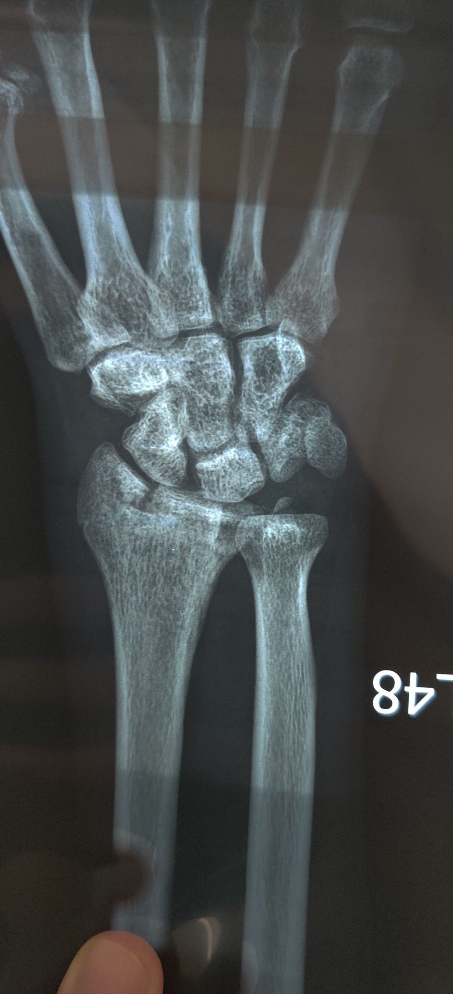
Radius Fracture
Ortho
Radius
Fractured
0
0
0
Other comments
Sign in
to post comments. You don't have an account?
Sign up now!
Related posts
Diagnosis?
Bionator
ORTHOPEDIC
Buckle Fracture
Extraction of fractured root
Fractured root extraction
Extraction of fractured root
Retrieval of fractured root
Retrieval of fractured root
Removal of fractured root
Recent MCQs
Show more MCQs
Recent flashcard sets
Show more flashcards
Feed
Learn
Add
Search
Discuss