
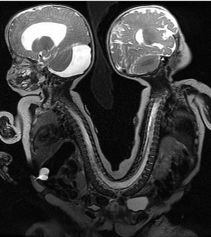
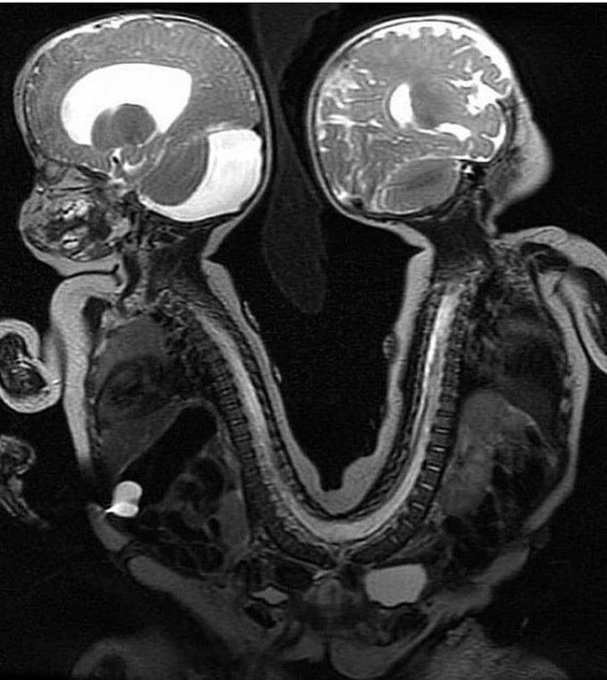
The MRI scan shows the case of conjoined twins who were successfully separated in a 13 hours long surgical procedure. The twins were linked back to back, in the pelvis and in the lower portion of the spine. The surgical team for this complex procedure comprised of 34 members from various pediatric specialities. Credits: https://www.instagram.com/p/CM5INHYh49q/?igshid=1tox3033wskea