
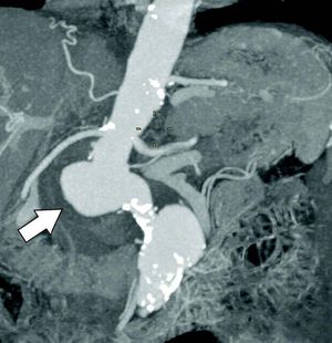
This CT scan is from a 77-year-old woman with abdominal aortitis and impending aneurysm rupture. What is the most likely clinical presentation of the patient? 1) AIDS with pulmonary tuberculosis 2) Bacterial meningitis 3) Intermittent claudication 4) Neurosyphilis
It is intermittent claudication means obstruction of arteries