MEDizzy
MEDizzy
Rilind Shala
Rilind Shalaalmost 8 years ago
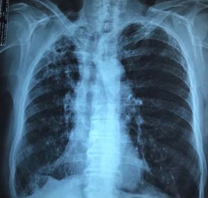
What's your diagnosis?

What's your diagnosis?

10
Top rated comment
almost 8 years ago

Bronchiectasis on the apex of right lung, fibro infiltrat and also tracheal deviation. It suggest maybe some of chronic pulmonary infection..😀

Other commentsSign in to post comments. You don't have an account? Sign up now!
almost 8 years ago

Dextrocardia.

almost 8 years ago

Clavicle fracture

almost 8 years ago

..

almost 8 years ago

Tb and upper and lower right lung partial collapse

almost 8 years ago

?

Recent MCQs

‌
‌

‌
‌

‌
‌

‌
‌

‌
‌
Show more MCQs

Recent flashcard sets

‌
‌

‌
‌

‌
‌

‌
‌

‌
‌
Show more flashcards