
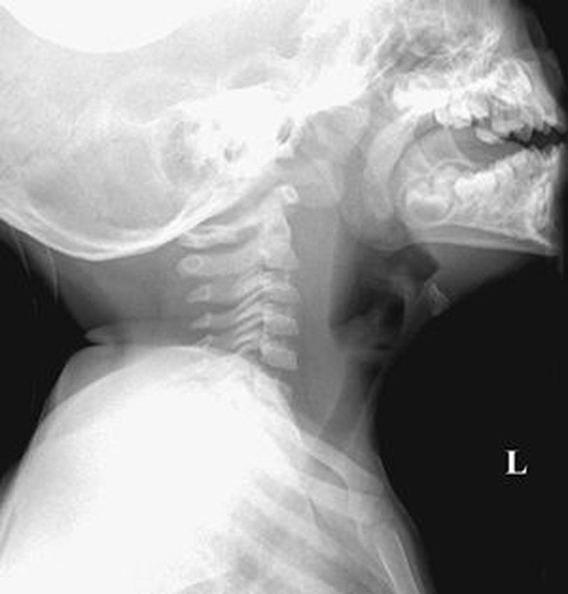
Retropharyngeal space is a potential space behind the pharynx. It extends from the base of the skull to a level of bifurcation of the trachea. This area has retropharyngeal nodes in children; these nodes disappear after 4 years of age. Retropharyngeal abscess is a potentially fatal infection of the neck. It occurs secondary to infection of the head and neck region that can spread through lymphatics. Trauma to the posterior wall of the pharynx can also cause a retropharyngeal abscess. The most common causative agent is streptococci. Retropharyngeal abscess is a disease of childhood. It occurs in children below 5 years. The patient presents with fever, pain in the neck, and torticollis. Dyspnea or stridor may also be present due to swelling obstructing the airway. X-ray lateral view of the neck is diagnostic. It shows the increased thickness of soft tissue in the prevertebral region. The normal curvature of the cervical vertebra is lost secondary to a spasm of muscles. Treatment involves incision and drainage. Systemic antibiotics are administered through the parenteral route. Source https://radiologykey.com/26-retropharyngeal-abscess/
OK the last teeth. Aha with cortisol Therapie or an extraction of them