Feed
Library
Learning
Discuss
Leaderboard
Journal
Sign in
Login
Sign up
Sign in
Feed
Library
Learning
Discuss
Leaderboard
Journal
Ahmad Syafiq
about 1 year ago
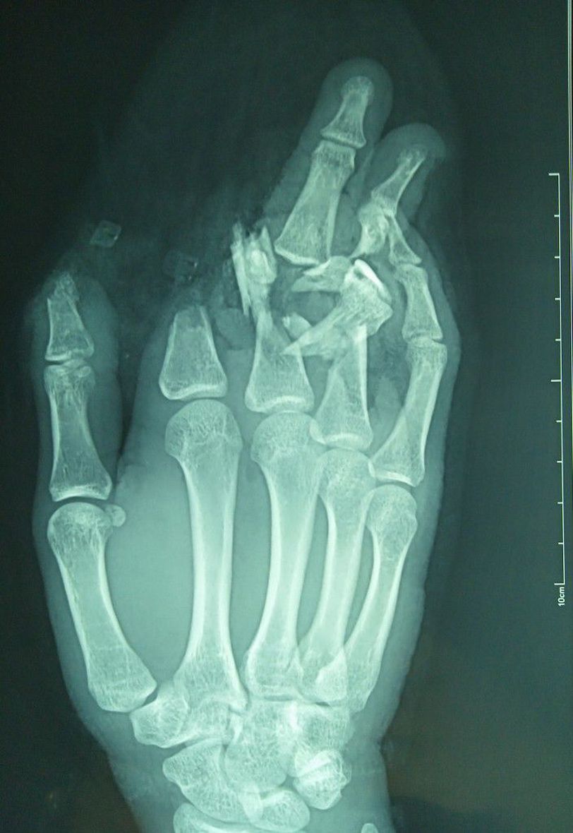
Industrial injury
Medicalassistant
Amo
Assistantmedicalofficer
546
0
5
Other comments
Sign in
to post comments. You don't have an account?
Sign up now!
Related posts
Thank God i found you (Reccurent laryngeal nerve). Have you seen Mr. RLN today ?
♥️HumanHeart
Guys, I’m curious what do you guys think of medical assistance to die? Would you feel comfortable doing it and why?
Hello i'm Medical Assistant student year III and im newbie here 😁
wish me luck for OSCE tomorow :((
Open femur fracture,24y male got MVA , he directed to emergency operation
Ciliary body Medulloepithelioma in a 10-Year-Old Boy.
Alleged MVA motorcycle vs motorcycle deep laceration wound upper lips she had 21cosmatic stick
Alleged MVA padded pedestrian vs lorry ,
Any tips for the CCMA exam
Recent MCQs
Show more MCQs
Recent flashcard sets
Show more flashcards
Feed
Learn
Add
Search
Discuss