Feed
Library
Learning
Discuss
Leaderboard
Journal
Sign in
Login
Sign up
Sign in
Feed
Library
Learning
Discuss
Leaderboard
Journal
San562
about 3 years ago
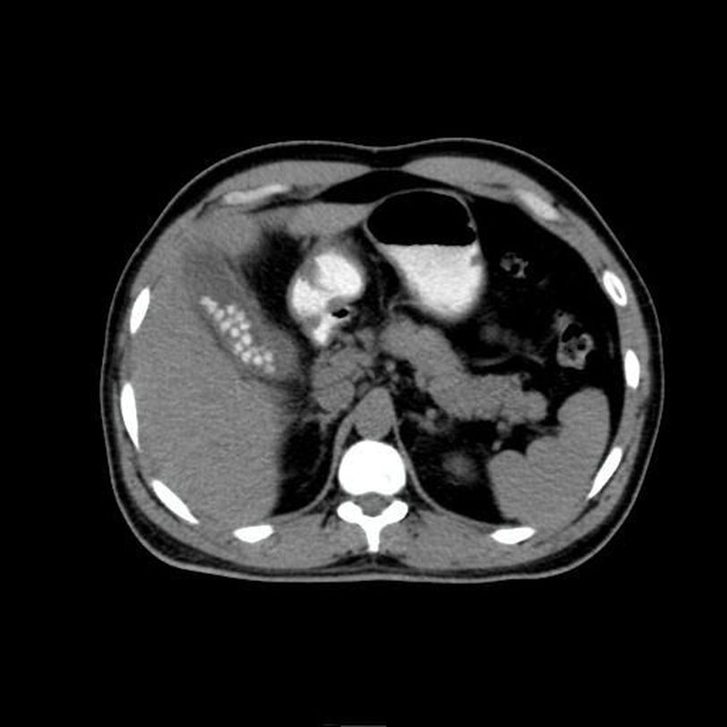
Acute calculus cholecystitis
Acute
Cholecystitis
Calculi
228
1
5
Top rated comment
AA
Alexandre Aka N’zoré
about 3 years ago
Why ?
0
Reply
Other comments
Sign in
to post comments. You don't have an account?
Sign up now!
Related posts
Acute Bacterial Meningitis II
Acute Bacterial Meningitis III
Acute Bacterial Meningitis IV
Acute Bacterial Meningitis V
Acute Bacterial Meningitis VI
Acute Bacterial Meningitis VII
Development of Cholecystitis
Acute myelomonocytic leukaemia
Acute leukaemia
Acute myelocytic leukaemia.
Recent MCQs
Show more MCQs
Recent flashcard sets
Show more flashcards
Feed
Learn
Add
Search
Discuss