Feed
Library
Learning
Discuss
Leaderboard
Journal
Sign in
Login
Sign up
Sign in
Feed
Library
Learning
Discuss
Leaderboard
Journal
T
Tonni
almost 5 years ago
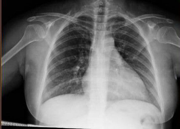
Guess the diagnosis?
Guess the diagnosis
Radiology
Xray
Thorax
5
3
1
Other comments
Sign in
to post comments. You don't have an account?
Sign up now!
Dr. Bariz
almost 5 years ago
Cardiomegaly
0
Reply
Fadumo Nuur
almost 5 years ago
Pluera effusion
0
Reply
Krunal Shah
almost 5 years ago
Tof
0
Reply
Related posts
Radiographs in dentistry
Pubic Rami
Closed Loop
How to Read MRI I
How to Read MRI II
Basic Brainstem Radiology
Spine Radiology I
Spine Radiology II
Chest X-Rays
Recent MCQs
Show more MCQs
Recent flashcard sets
Show more flashcards
Feed
Learn
Add
Search
Discuss