
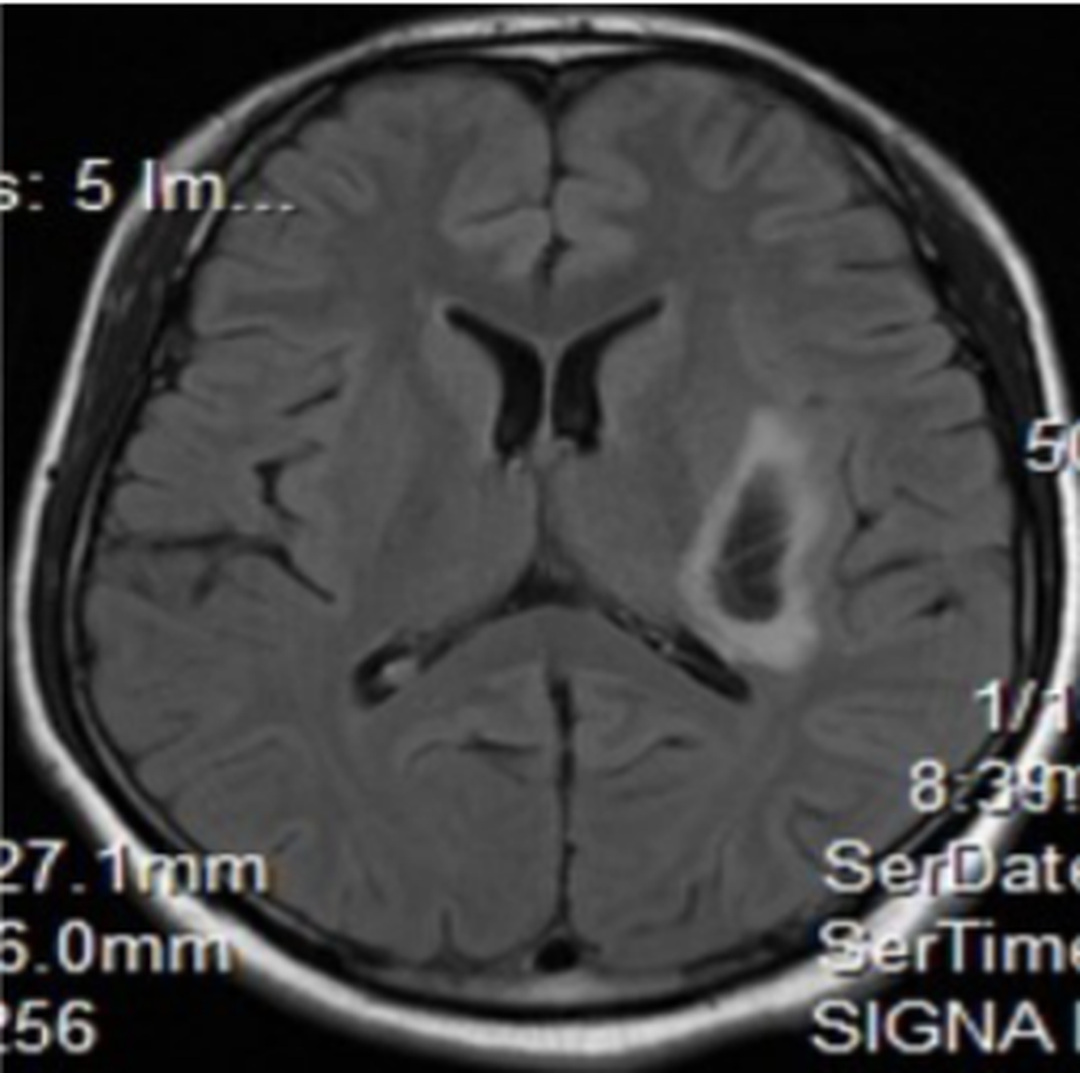
Pure sensory stroke is a rare entity since stroke is almost always accompanied by few motor symptoms. Most common cause of pure sensory stroke is lacunar hemorrhage or lacunar infarction. However, a report presented a case of putamen hemorrhage that manifested in pure sensory stroke. A 27-year-old patient, with no known comorbidities, presented to ER with complain of numbness on right side of the body for approximately 10 hours. He reported no visual as well as the motor symptoms. Examination revealed otherwise healthy male, with decreased sense of touch and pain on right side of the body. All other neurological tests were normal. Blood panel and metabolic profile were within normal parameters. MRI revealed hematoma on left putamen region. 20% mannitol was given 8 hourly via dosing at 0.5g/kg. Source Pure Sensory Stroke due to Putamen Bleed: A Case Report https://www.researchgate.net/profile/Ivaturi_Venkata_Nagesh/publication/344160713_Pure_sensory_stroke_due_to_putamen_bleed/links/5f57135c92851c250b9cfa04/Pure-sensory-stroke-due-to-putamen-bleed.pdf Image via https://www.researchgate.net/profile/Ivaturi_Venkata_Nagesh/publication/344160713_Pure_sensory_stroke_due_to_putamen_bleed/links/5f57135c92851c250b9cfa04/Pure-sensory-stroke-due-to-putamen-bleed.pdf
A rare "textbook" case! Not only a rare sensory type, but also not in the expected thalamus. But the scary part is it was a healthy young male with normal labs--like where did this come from?
exactly! no family history, no comorbidities, no smoking history.